Randolph Dental Associates
A Great Dentist

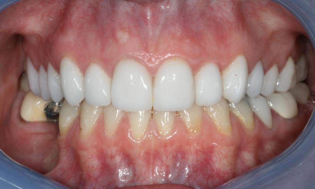
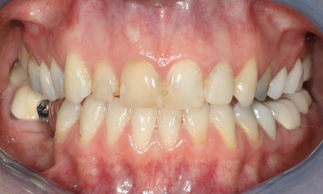
Cosmetic Restoration with Crowns & Veneers

K.S. presented with concerns regarding the color and wearing of her teeth. She had older bonded fillings, and teeth were generally breaking down. We were able to restore her beautiful smile with a combination of crowns and veneers. 

Related Services:

Cosmetic Dentistry
Improve your smile today – call to schedule a consultation!
If you have difficulty using our website, please email us or call us at (973) 895-3100
View the ADA Accessibility Statement