Smile Gallery
We look forward to being part of your journey to a healthier, more attractive smile. Please browse through some of our before and after pictures to see what's possible for your smile!




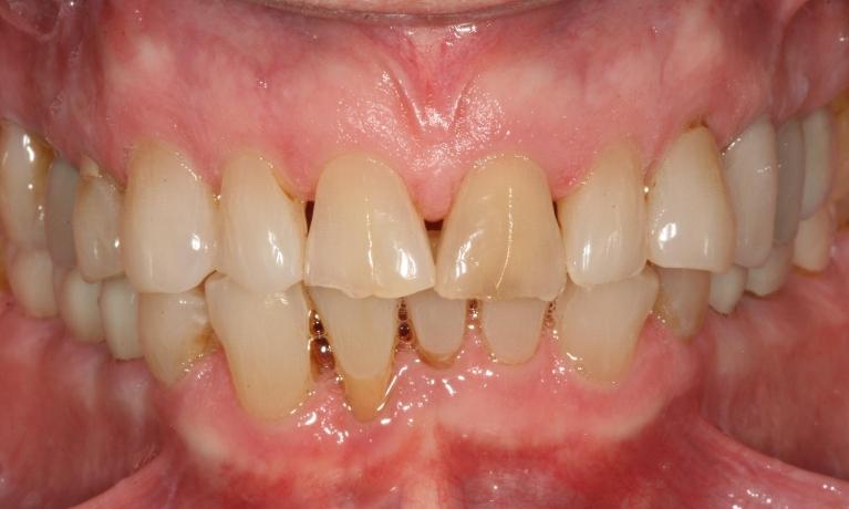
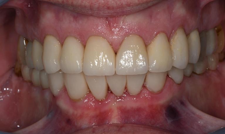
K.S. presented with concerns regarding the color and wearing of her teeth. She had older bonded fillings, and teeth were generally breaking down. We were able to restore her beautiful smile with a combination of crowns and veneers.




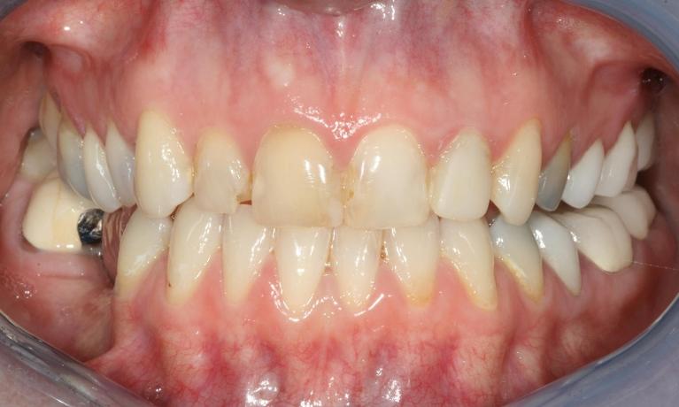
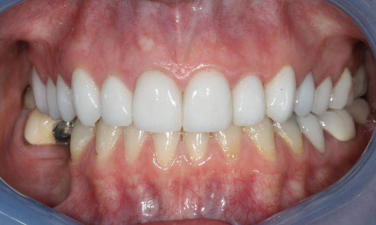
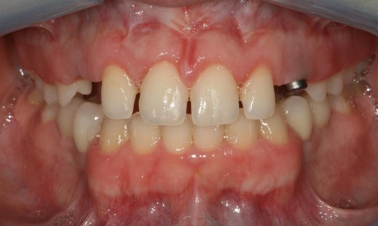
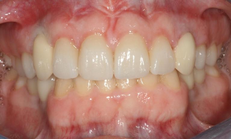
J. D. had undersized natural teeth and was missing other teeth. (They never formed in her mouth). After braces to create the appropriate spacing, implants were placed. Crowns and veneers were used to create a beautiful full smile!


JM presented concerned with his teeth being uneven, discolored and desiring a "cleaner, younger look" to his teeth. With a combination of crowns and veneers we restored a smile he is proud to show. We created a wider smile, straight teeth and brighter appearance.


KL felt that her "teeth looked dark and had no shine to them". We removed the old composite veneers and with new porcelain veneers we widened and brightened her smile.


P.K. was always self conscious of his smile. He "always covered my smile because of the gaps between the teeth". With veneers on his teeth we closed the spaces, created natural shaped. He now smiles freely!


Before: This patient had moderately crooked upper teeth
After: Invisalign aligned the teeth, dramatically improving their smile without the need for metal braces.


Before: Slight crowding in the lower and the upper arch affected this patient’s smile.
After: With Invisalign, all the misalignment teeth were corrected, delivering a seamless, symmetrical result.


Before: Slight crowding in the upper front teeth affected this patient’s smile.
After: With Invisalign, the misalignment was corrected, delivering a seamless, symmetrical result.


Before: This patient had noticeable spacing between their upper front teeth and mild misalignment across the top arch.
After: After completing Invisalign treatment, their smile is beautifully aligned with gaps closed, creating a more balanced and confident appearance.


Before: The patient came in with visible gaps between their upper teeth and uneven spacing along the gumline.
After: Invisalign effectively closed the gaps and straightened the teeth for a clean, natural-looking smile.




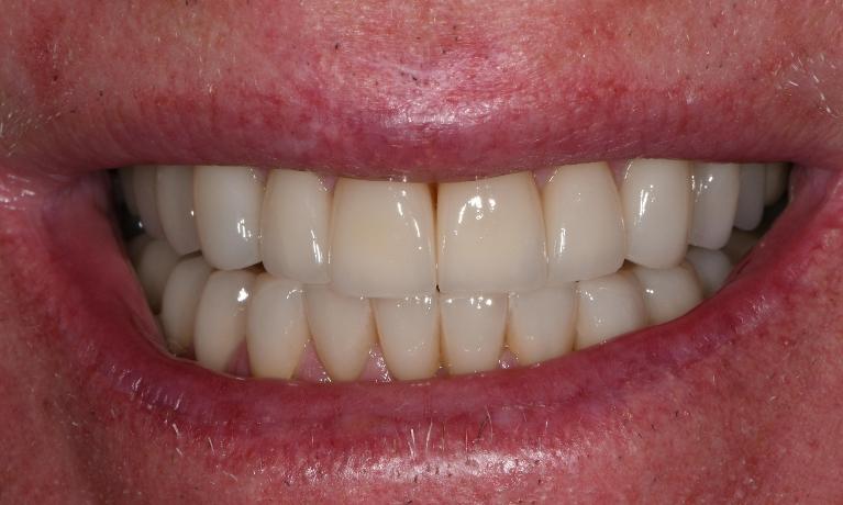
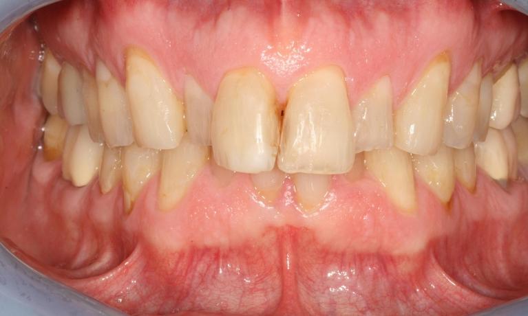
D.M. presented to Randolph Dental Associates with concerns about the "color and look" of his teeth. After 2 years of braces and aesthetic reconstruction to restore the size and shape of his teeth, he now has a lot to smile about!




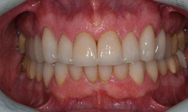
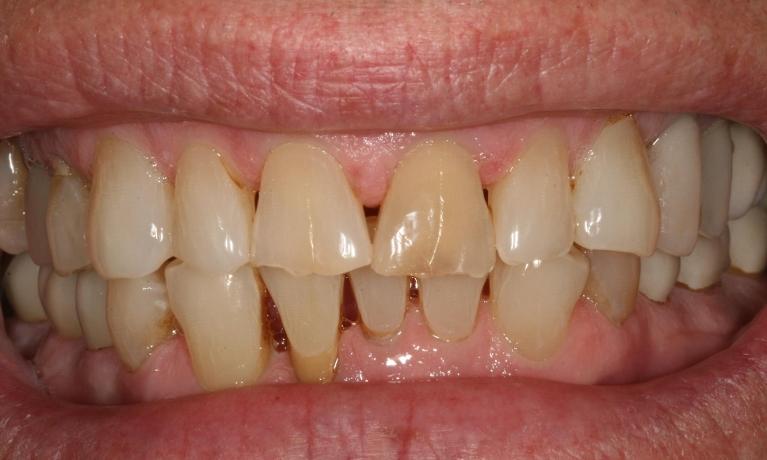
J.M. first came to our office with concerns about the color and chipping of his teeth. We were able to create a smile he loves to show with a combination of crowns and veneers. "I'm not embarrassed to smile anymore!"
My visits have always been so well planned by the office staff, I receive confirmation of date and time, I couldn’t ask for a more caring group of people.